ブログ体験談❹|マウスピース矯正4ヶ月後の口腔内の変化
〜マウスピース装着4ヶ月が経過しました〜
神奈川県藤沢市の歯医者、藤沢ギフト歯科・矯正歯科の歯科衛生士です。
今回は、マウスピース矯正を開始して4ヶ月が経過した時点での口腔内の変化について、実際の写真とともにお伝えします。
⸻
結論|4ヶ月で「歯は確実に動き、見た目にも変化が出る」
結論からお伝えすると、マウスピース矯正は4ヶ月でしっかりと変化を実感できます。
歯並びのガタつきだけでなく、噛み合わせや口元の左右バランスなど、自分では気づきにくかった部分まで改善が見られ、矯正へのモチベーションが大きく高まる時期だと感じています。
⸻
目次
1. マウスピース矯正4ヶ月後の写真について
2. 歯並びのガタつきが減ってきた変化
3. 口元の左右非対称が改善した感動ポイント
4. 下の歯がしっかり見えるようになった変化
5. 咬合平面とは?
6. IPR後に感じたリアルな変化
7. IPRとはどんな処置?
8. まとめ
⸻
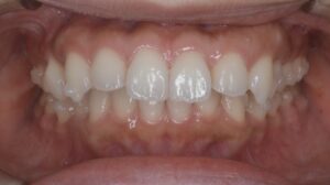
1. マウスピース矯正4ヶ月後の写真について
こちらは、マウスピース治療を開始して4ヶ月が経過した時点の口腔内写真です

治療前と比較すると、「本当に歯って動くんだ」と実感できる変化が出てきました。
⸻
2. 歯並びのガタつきが減ってきている

矯正前(左)では、前歯が少し重なって見え、歯の並びがデコボコしていました。
一方、矯正途中(右)では、歯が横一列に近づき、ガタつきが明らかに減ってきているのがわかります。
大きな変化ではないように見えて、毎日自分の口を見ている身としては、確実な前進を感じています。
⸻
3. 口元が左右非対称だった部分の改善
今回の矯正の目的は、実は噛み合わせの改善でした。
しかし、私自身が見た目で一番気になっていたのは「口元の左右非対称」です。
写真を撮るたびに、
「なぜ私の笑った歯は斜めなんだろう?」
と違和感を感じていましたが、正直この矯正でそこまで改善するとは思っていませんでした。

写真の黒い線は、上下の歯が噛み合う位置、**咬合平面(こうごうへいめん)**を示しています。
矯正前はこのラインがやや斜めでしたが、治療によって左右の歯の高さが整い、まっすぐに近づいてきています。
この変化は、個人的に一番感動したポイントです。
⸻
4. 上の歯が被さって見えなかった下の歯が見えてきた
以前は、噛んだ時に下の歯がほとんど見えず、上の歯に隠れていました。
4ヶ月経過した現在では、下の歯が自然に見えるようになり、噛み合わせが改善してきているのを感じています。
見た目だけでなく、噛みやすさの変化も実感しています。
⸻
5. 咬合平面とは?
咬合平面とは、歯がかみ合う高さやラインのことです。前歯から奥歯まで、かみ合わせたときにだいたい一直線になる“かみ合わせのバランス”このラインが傾いていると、口元が左右非対称に見えたり、噛み合わせに負担がかかることがあります。
マウスピース矯正では、歯の高さを細かく調整することで、この咬合平面を整えていきます。
⸻
6. IPR後に感じたリアルな変化

IPRは18枚目のマウスピースで3ヶ所行いました。
前回のブログでは「物が詰まりやすい」とお話ししましたが、IPR後はまったく物が詰まらなくなりました。
むしろ、隙間がだんだん埋まっていく感覚があり、歯が並んでいく過程を実感しています。
⸻
7. IPRとはどんな処置?
IPRとは、歯と歯の間をほんの少しだけ削って、歯がきれいに並ぶためのスペースを作る矯正治療の処置です。
削る量は
• 片側0.2〜0.5mm程度
• 1本あたり髪の毛1〜2本分ほど
見た目が変わるほど削ることはありません。
なぜIPRをするの?
• 歯が並ぶスペースが足りない
• 歯を抜かずに矯正したい
• 前歯のガタつきを整えたい
• ブラックトライアングルを目立ちにくくしたい
適切に行えば、虫歯リスクが大きく上がることはなく、痛みもほとんどありません。
⸻
まとめ|4ヶ月は「変化を実感できる大切な時期」
マウスピース矯正を始めて4ヶ月。
歯並び、噛み合わせ、口元のバランスなど、少しずつですが確実に変化を感じています。
最後までお読みいただき、ありがとうございました。
今後もマウスピース矯正の経過や、歯科衛生士として感じたリアルな体験を発信していく予定です。
これから矯正を検討している方や、不安を感じている方の参考になれば嬉しいです。
藤沢市でマウスピース矯正を検討している方は、ぜひ気軽に相談してみてください。
次回は、
「マウスピースにおしゃれしてみた!」
をお届けします。
📍神奈川県藤沢市|藤沢ギフト歯科・矯正歯科
インビザライン矯正について詳しく知りたい方は、インビザライン公式サイト👉https://www.invisalign.co.jp/
https://gift-dental.com/category/%E3%83%96%E3%83%AD%E3%82%B0/
