下顎後退に対してインビザラインファーストで改善を行ったケース
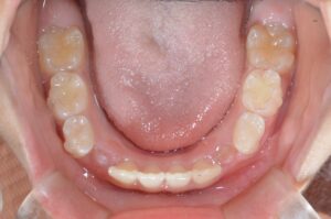
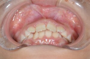
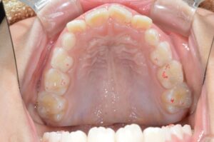
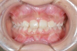
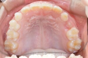
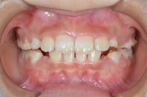
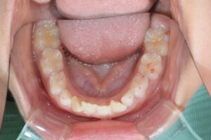
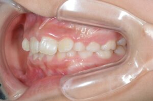
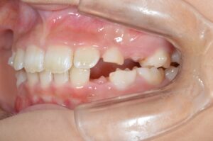
治療前

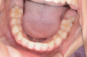
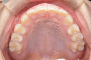
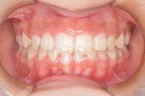
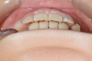
矯正治療終了後
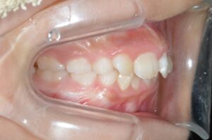
永久歯萌出後
| 主訴 | 上顎前歯が出ていることが気になる |
|---|---|
| 治療期間 | 10ヶ月 |
| 治療費 | 528,000円+5,500円(追加アライナー1回分費用) |
| 治療内容 | 上顎前歯の突出を主訴に矯正治療希望にて受診。インビザラインファーストを用いて、矯正治療を行なった。途中1回の追加治療を行い保定に移行。 |
| 治療のリスク | マウスピースの使用時間が少ないと、予測通りの歯の移動が生じず、治療期間の延長や追加料金が発生する。歯の移動に伴い歯根吸収、歯髄壊死のリスクがある。また、保定をしっかり行わないと後戻りする可能性があるので、治療終了後も定期的な観察が必要である。 |
インビザラインに関してはこちら→https://gift-dental.com/treatment/ortho01/
藤沢ギフト歯科・矯正歯科|ASMACI藤沢の歯医者




