矯正治療を始めます|インビザラインで過蓋咬合を改善します。
矯正治療を始めます。
歯科衛生士が自身のインビザライン矯正を体験!診断名「過蓋咬合」とは?治療を始めた理由や方針、マウスピース矯正のリアルな経過を発信します。
はじめまして。藤沢ギフト歯科・矯正歯科の歯科衛生士の才木と申します。
このたび、インビザライン(マウスピース矯正)を始めることになりました。
矯正治療を検討している方にとって、実際に体験している人の声はとても参考になると思います。そこでこのブログでは、治療の流れや感じたこと、変化などをできるだけリアルにお伝えしていく予定です。
⸻
1. 過蓋咬合とは?
2. 見た目だけでは分からない噛み合わせの問題
3. 私が矯正治療を決意した理由
4. 過去に矯正を諦めた経験
5. 今回の治療方針とインビザラインについて
6. まとめ
⸻
1. 過蓋咬合とは?
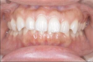
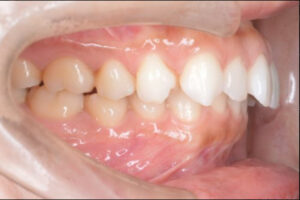
私の診断名は「過蓋咬合(かがいこうごう)」です。
これは上の歯が下の歯に深くかぶさっている噛み合わせのことで、歯科用語では「ディープバイト」とも呼ばれます。正面から見ると気づきにくいものの、横から見ると出っ歯気味に見えてしまうことがあります。

このように、見た目の問題だけでなく噛み合わせのバランスにも影響を与えることがあるのです。
⸻
2. 見た目だけでは分からない噛み合わせの問題
過蓋咬合の一番の問題は、奥歯同士が強く当たりすぎる点です。
この状態を放置すると、下の奥歯に負担がかかり、歯がすり減ったり欠けたりするリスクが高まります。
さらに、噛み合わせのずれが顎関節や筋肉に影響を与え、肩こりや頭痛を引き起こすこともあります。
見た目の美しさだけでなく、**「機能的な健康」**のためにも改善が大切だと感じました。
目次
3. 私が矯正治療を決意した理由
正面から見るとあまり気にならなかったのですが、横から自分の歯並びを見たときに「思った以上に出っ歯なんだ…」とショックを受けました。

それが、矯正を真剣に考えるきっかけのひとつです。
また、歯科衛生士として日々患者さんと接する中で、「噛み合わせのバランスを整えることが予防につながる」ということを改めて学び直す機会が増えました。
その経験を通して、自分自身の口の中を客観的に見つめ直したことが、矯正を決意した大きな理由です。
さらに、健康な歯を長く保つためには、見た目の美しさだけでなく、**正しい咬合(こうごう)**が大切だと改めて実感しました。
⸻
4. 過去に矯正を諦めた経験
実は、学生時代に一度だけ矯正相談を受けたことがあります。
そのときの目的は「歯ぎしりによるエラの張りが矯正で改善するのか」を知りたかっただけでした。
先生からは、「歯並びが整えば見た目は改善する可能性があるが、歯ぎしりやエラの張りが必ず良くなるとは限らない」と説明を受けました。
その結果、当時の私は「自分には必要ない」と感じ、矯正を見送ることにしました。
しかし今振り返ると、あのときは“見た目の改善”だけを目的にしていて、「自分の歯を守るための矯正」という本質的な視点を持っていなかったのだと思います。
この経験が、今回の矯正への意識の変化につながっています。
⸻
5. 今回の治療方針とインビザラインについて
今回の治療は、抜歯なしで進めることになりました。
使用するのは、透明なマウスピース型矯正装置「インビザライン」です。
ワイヤー矯正とは異なり、インビザラインは目立ちにくく、取り外しができるのが大きな特徴です。
そのため、食事や歯磨きも普段どおり行いやすく、清潔な口腔環境を保ちやすい点が魅力です。
また、歯科衛生士としての視点からも、「自分でしっかり口の中を管理できる矯正法」というのはとても安心感があります。
今後は、治療の流れや経過、実際に使ってみて感じたことなどを、このブログで少しずつ発信していく予定です。
矯正治療に興味がある方や、始めるか迷っている方の参考になれば嬉しいです。
⸻
6. まとめ
• 診断名は「過蓋咬合(かがいこうごう)」
• 見た目以上に奥歯への負担が大きく、将来の歯の寿命にも影響する
• 学生時代は目的が曖昧で矯正を諦めたが、今回は「歯を守るため」に再挑戦
• インビザラインで抜歯なしの矯正治療を開始
⸻
矯正治療は「見た目を整えるため」だけではなく、**「将来の歯を守るための大切な投資」**です。
これから実際の治療経過や感じたことを、リアルに発信していきます。
最後まで読んでくださり、本当にありがとうございました。
今後の更新もぜひ楽しみにしていてください。
藤沢ギフト歯科・矯正歯科
⸻
目次
1. 過蓋咬合とは?
2. 見た目だけでは分からない噛み合わせの問題
3. 私が矯正治療を決意した理由
4. 過去に矯正を諦めた経験
5. 今回の治療方針とインビザラインについて
6. 今後の目標とまとめ
⸻
1. 過蓋咬合とは?
私の診断名は「過蓋咬合(かがいこうごう)」です。
これは上の前歯が下の前歯を深く覆ってしまう噛み合わせのことで、歯科では「ディープバイト」とも呼ばれます。
見た目ではあまり気づかれにくいですが、横から見ると出っ歯気味に見えることが多いのが特徴です。
また、上下の前歯が強く当たるため、歯の摩耗や顎関節への負担につながることもあります。
軽度であれば機能的な問題を感じない方もいますが、長期的にみると歯や歯茎へのダメージが積み重なってしまうことがあるため、注意が必要です。
⸻
2. 見た目だけでは分からない噛み合わせの問題
過蓋咬合の怖いところは、「見た目だけでは問題が分からない」という点です。
奥歯の噛み合わせが深すぎると、咬合力(こうごうりょく)が一部の歯に集中してしまい、歯が欠けたり、すり減ったり、歯周病を悪化させる原因になることもあります。
さらに、下の前歯が上の歯ぐきに当たることで、歯肉退縮(歯ぐきが下がること)を起こすケースもあります。
私も自分の口腔内を写真で確認したときに、「前歯の位置が思ったより深くかぶさっている」と気づき、危機感を持ちました。
⸻
3. 私が矯正治療を決意した理由
歯科衛生士として多くの患者さんの口の中を見てきた中で、「噛み合わせを整えることが予防につながる」ということを再認識しました。
「見た目」だけでなく、「将来自分の歯を守るため」に治療を決断しました。
横顔のラインが出っ歯気味に見えるのも少し気になっていたので、機能面・審美面の両方から改善を目指しています。
⸻
4. 過去に矯正を諦めた経験
実は、学生時代に一度だけ矯正相談を受けたことがあります。
当時は「歯ぎしりによるエラの張りを改善したい」という軽い気持ちでしたが、担当医から「見た目は少し良くなるかもしれないが、歯ぎしりが必ず改善するとは限らない」と言われ、矯正の必要性を感じずに断念しました。
今思えば、あの頃は「歯を長く健康に保つための矯正」という考え方がなかったのだと思います。
年齢を重ね、歯科衛生士として学びを深めた今だからこそ、「自分の歯を守る手段としての矯正」を選択できたのだと感じています。
⸻
5. 今回の治療方針とインビザラインについて
今回の治療は抜歯なしでのインビザライン矯正です。
透明のマウスピースを装着するため、周囲から気づかれにくく、仕事中も安心して続けられます。
ワイヤー矯正と違って装置を外せるので、食事や歯磨きがしやすいのも魅力です。
衛生士として、口腔内を常に清潔に保てるのはとても大きな利点だと感じています。
また、デジタルスキャンで歯の動きをシミュレーションできるので、治療後の歯並びを事前にイメージできるのもモチベーションにつながります。
⸻
6. 今後の目標とまとめ
これから定期的に経過をブログで更新していく予定です。
「どんな経過をたどるのか」「装着時間の管理は大変?」「実際に痛みはあるの?」といったリアルな疑問にもお答えしていけたらと思っています。
⸻
まとめポイント
• 診断名は「過蓋咬合(ディープバイト)」
• 見た目よりも、奥歯や顎への負担が大きい
• 学生時代は目的が曖昧で矯正を諦めた
• 今回は「歯を守るため」にインビザラインで矯正開始
• 今後、経過や感想を発信予定
矯正治療は「見た目を整えるため」だけでなく、将来の歯を守るための投資です。
これから同じように悩んでいる方の背中を少しでも押せたら嬉しいです。
ここまで読んでくださり、本当にありがとうございました。
今後も読んでいただけると幸いです。
インビザライン矯正について詳しく知りたい方は、インビザライン公式サイト👉https://www.invisalign.co.jp/
https://gift-dental.com/category/%E3%83%96%E3%83%AD%E3%82%B0/
