9歳 上下の凸凹に対してインビザラインファーストで治療したケース
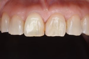
治療前



治療後

| 主訴 | 上下の前歯がガタガタしている。 |
|---|---|
| 治療期間 | 1年3カ月 |
| 治療費 | 565000円 |
| 治療内容 | 矯正治療希望、前歯のガタガタが気になり当院受診。インビザラインファーストを用いて、マウスピース矯正を行なった。途中2回の追加治療を経て、保定に移行。整列した歯並びを維持しながら、永久歯の萌出を待つ。 |
| 治療のリスク | マウスピースの使用時間が少ないと、予測通りの歯の移動が生ず、治療期間の延長や追加料金が発生する。インビザラインファーストでは治療期間が18ヶ月と限られているので、患者さんのハイレベルの協力のもと結果を出す必要がある。また、子供の矯正治療では対応できない問題が生じた場合、永久歯萌出後に2期治療が必要となる場合がある。 |
インビザラインに関してはこちら→https://gift-dental.com/treatment/ortho01/
藤沢ギフト歯科・矯正歯科|ASMACI藤沢の歯医者
